Aarogya Dental n Skin Logo

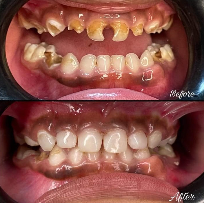
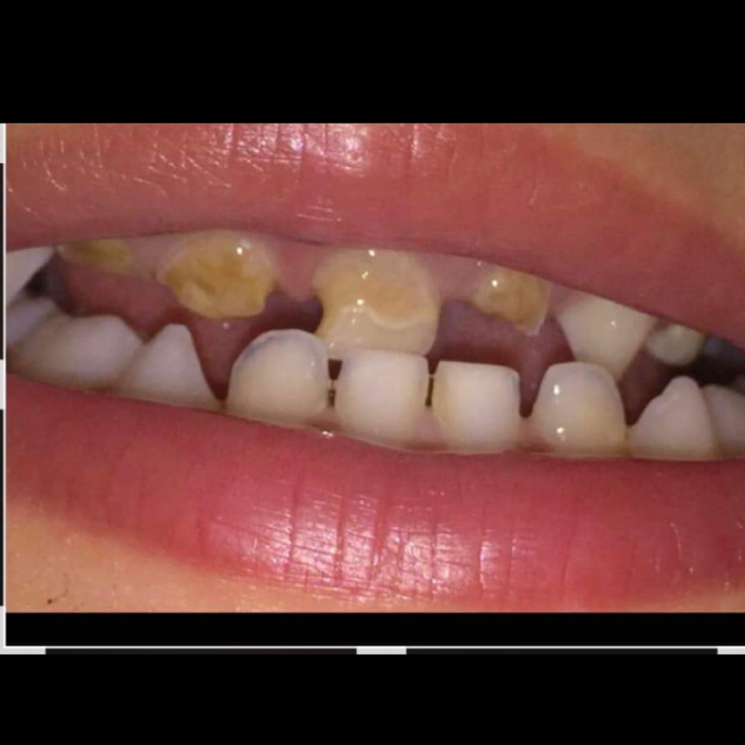
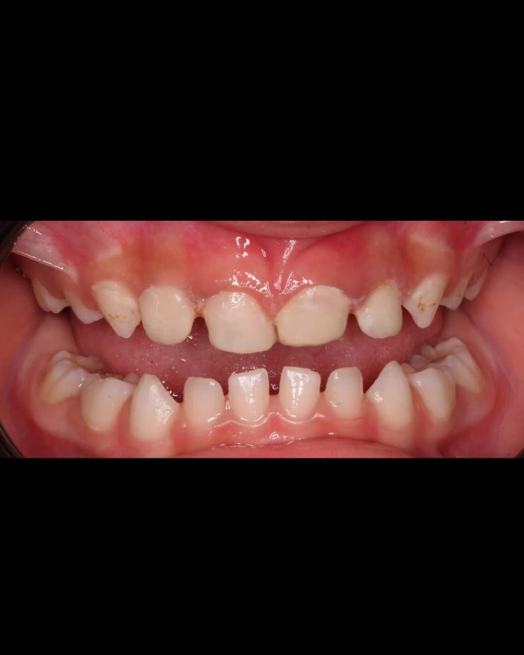
Photos